We often get a query from our clients: what can dentists do to minor cracks in tooth?
Today, we will answer this question in detail.
Teeth are incredibly strong structures designed to handle years of chewing, biting, and grinding. However, despite their strength, they are not indestructible. Over time, teeth can develop small cracks that may not always be visible to the naked eye.
These minor cracks can occur for many reasons, such as biting hard food, teeth grinding, trauma, or natural wear that comes with age.
Many people discover these cracks accidentally during a dental checkup, while others notice symptoms such as sensitivity or mild discomfort when chewing.
The good news is that minor tooth cracks can often be managed effectively when they are detected early. Dentists today have a variety of treatment options available that can preserve the natural tooth and restore comfort.
Understanding how dentists evaluate and manage these cracks can help patients make informed decisions about their oral health.
Understanding Minor Tooth Cracks and What Can Dentists Do To Minor Cracks in Tooth?

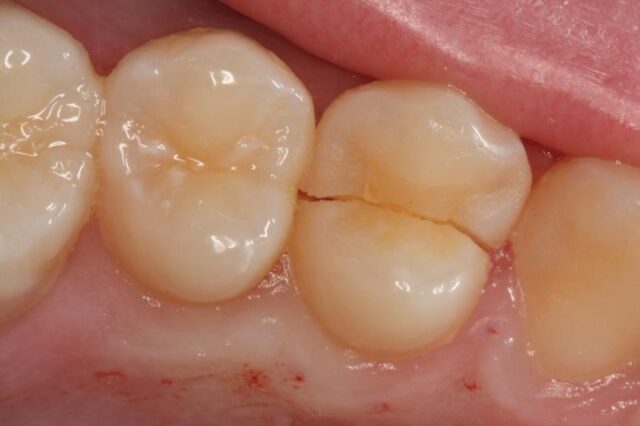
A minor crack in a tooth usually refers to a small fracture that affects the enamel and sometimes the underlying dentin, but does not extend deep into the root of the tooth. These cracks are often called craze lines or superficial cracks.
Craze lines are extremely common in adults and often appear as fine lines on the surface of the enamel. In many cases, they are only cosmetic and do not require treatment. However, other minor cracks may cause symptoms depending on their depth and location.
Patients sometimes experience sensitivity to hot or cold foods, discomfort when biting down, or a sharp pain that quickly disappears. These signs may indicate that the crack has reached the dentin layer, where nerves begin to react to temperature changes.
The key factor in managing tooth cracks is early detection. When identified early, many cracks can be treated with simple procedures that protect the tooth from further damage.
Common Causes of Minor Tooth Cracks
Several everyday habits and conditions can contribute to small cracks forming in teeth.
- One of the most common causes is biting hard foods such as ice, hard candy, or unpopped popcorn kernels. Sudden pressure can create tiny fractures in the enamel.
- Teeth grinding, also known as bruxism, is another major factor. People who grind their teeth during sleep place constant stress on their teeth, which can gradually lead to cracks.
- Temperature changes can also play a role. For example, drinking a very hot beverage followed immediately by something cold can cause the enamel to expand and contract.
- Trauma or accidental injury to the mouth may also result in minor cracks. Even habits like chewing on pens or opening packages with teeth can contribute to enamel damage.
What Can Dentists Do To Minor Cracks in Tooth

Diagnosing tooth cracks can sometimes be challenging because they are often too small to see easily. Dentists rely on several methods to identify them.
During a dental examination, the dentist may use a bright light and magnification to look for fine lines in the enamel. Special dyes may also be used to highlight cracks that are otherwise difficult to detect.
Another common method involves asking the patient to bite down on a specific instrument that helps pinpoint the exact location of pain. If the tooth hurts under pressure but feels better when the pressure is released, it may indicate a crack.
Dental X-rays can help rule out deeper fractures or infections, although very small cracks may not appear clearly on X-rays. Once the dentist understands the extent and location of the crack, an appropriate treatment plan can be developed.
Treatment Options for Minor Tooth Cracks
Here comes the answer to: What Can Dentists Do To Minor Cracks in Tooth?
The treatment for minor cracks depends on the crack’s depth and whether the patient is experiencing symptoms. Dentists aim to preserve tooth structure while retaining as much of the natural tooth as possible.
Polishing or Monitoring
In cases where the crack is purely cosmetic, such as a craze line, no treatment may be required. The dentist may simply polish the tooth to smooth the surface and monitor it during routine dental visits.
Dental Bonding
Dental bonding is one of the most common treatments for small cracks. In this procedure, a tooth colored resin is applied to the cracked area and hardened with a special light.
The material seals the crack and restores the tooth’s appearance and function. Bonding is a conservative procedure and is often completed in a single visit.
Fluoride Treatment
If the crack is associated with sensitivity but has not caused structural damage, fluoride treatments may help strengthen the enamel and reduce discomfort.
Dental Crown
When a crack extends deeper and compromises the tooth’s strength, a dental crown may be recommended. A crown covers the entire visible portion of the tooth, protecting it from further stress and preventing the crack from spreading.
Although crowns involve slightly reshaping the tooth, they provide long-term stability for teeth with moderate cracks.
Night Guards for Teeth Grinding
If the crack is caused by teeth grinding, the dentist may recommend a custom night guard. This appliance is worn during sleep to reduce pressure on the teeth and prevent further damage.
Preventing Minor Tooth Cracks

Prevention is always better than treatment. Simple habits can significantly reduce the risk of developing tooth cracks.
Avoid chewing extremely hard foods or objects. Using teeth as tools to open packages should also be avoided.
If teeth grinding is suspected, it is important to discuss it with a dentist, who can recommend protective measures such as night guards.
Maintaining regular dental checkups allows dentists to detect early signs of cracks before they progress into larger problems.
Proper oral hygiene also helps maintain strong enamel that is less likely to fracture.
The Importance of Conservative Dental Care

Modern dentistry has advanced significantly, allowing dentists to treat many conditions with minimal intervention. Preserving natural tooth structure is always a priority whenever possible.
At Aesthetic Dental Studio, the philosophy centers on providing appropriate solutions for the condition without unnecessary procedures. Many minor cracks can be managed with simple treatments rather than aggressive interventions.
In today’s environment, some clinics may recommend complex or expensive procedures even when simpler options exist. The focus here is always on the patient’s long-term dental health rather than performing treatments that are not truly required.
Careful diagnosis and thoughtful treatment planning ensure that patients receive solutions that address the problem while preserving as much of the natural tooth as possible.
A Message from Dr. Hasnain Rizvi
Choosing the right dental clinic is an important decision for your health. Patients should take the time to find professionals who prioritize honest advice and ethical treatment.
Do not feel pressured to accept complicated or expensive procedures without understanding why they are needed. In many situations, a problem that appears serious can actually be managed with a much simpler solution.
It is also important not to rely solely on habit or family tradition when selecting a dentist. Just because a clinic has been visited by relatives for years does not always mean it is the best option for your needs today.
Dentistry is evolving rapidly, and patients deserve care that is both modern and responsible. Unfortunately, there are cases where treatments are recommended more for financial reasons than for genuine clinical need.
Patients should always ask questions, seek explanations, and ensure they feel comfortable with the treatment plan being offered.
Your oral health is valuable, and the right clinic will focus on protecting it rather than taking advantage of your trust. Taking the time to choose carefully can make a significant difference in both the quality of care you receive and the long-term health of your smile.
If you want us contact us, set an online appointment with us today!
Frequently Asked Questions
Here are some FAQs related to What Can Dentists Do To Minor Cracks in Tooth
Can a minor cracked tooth heal on its own?
Unlike bones, teeth cannot regenerate once enamel is damaged. However, very small cracks may not worsen if properly protected and monitored.
Is a cracked tooth always painful?
Not always. Many minor cracks cause no pain at all and are discovered only during routine dental examinations.
Can minor cracks turn into major fractures?
Yes. If left untreated, small cracks can deepen over time, especially if the tooth continues to experience pressure from chewing or grinding.
How long does dental bonding last for cracked teeth?
Dental bonding can last several years with proper care. Avoiding hard foods and maintaining good oral hygiene helps extend its lifespan.
Is a crown always necessary for a cracked tooth?
No. Crowns are recommended only when the crack significantly weakens the tooth. Many minor cracks can be treated with simpler procedures.

