The dangers of gum disease must not be overlooked or ignored!
When people think about dental problems, they usually worry about cavities, tooth pain, or yellow teeth. What many patients don’t realize is that gum disease is one of the most dangerous and ignored oral health problems, and it can quietly damage not only your teeth but also your overall health.
At Aesthetic Dental Studio, we see many patients in Karachi who come to us when gum disease has already advanced. The good news is that gum disease is preventable and treatable, especially when caught early.
This detailed guide explains what gum disease is, its hidden dangers, and why timely treatment is essential for protecting your smile and your health.
What Is Gum Disease?

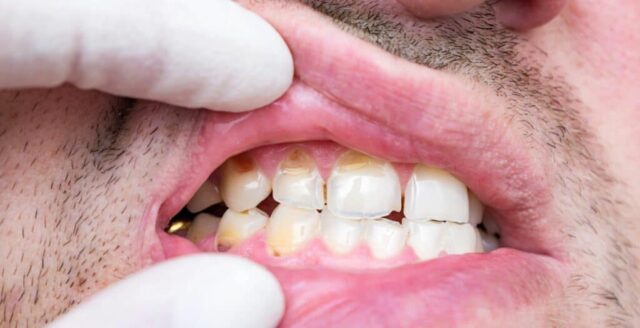
Gum disease, also known as periodontal disease, is an infection of the tissues that support your teeth. It starts when plaque builds up along the gumline. Plaque contains bacteria that irritate and inflame the gums.
Gum disease develops in stages:
- Gingivitis – Early stage with red, swollen gums and bleeding
- Periodontitis – Advanced stage where gums pull away from teeth, and bone loss begins
Many patients ignore early symptoms because there is little or no pain, which allows the disease to progress silently.
Early Warning Signs You Should Never Ignore
Gum disease does not appear overnight. It gives warning signs that many people overlook:
- Bleeding gums while brushing or flossing
- Persistent bad breath
- Red, swollen, or tender gums
- Receding gums or teeth appearing longer
- Loose or shifting teeth
- Pus between gums and teeth
If you notice any of these symptoms, it is important to visit a professional dentist immediately.
The Hidden Dangers of Gum Disease

Here are some of the hidden dangers of gum disease:
1. Tooth Loss
One of the most serious dangers of gum disease is permanent tooth loss. As the infection spreads, it destroys the bone and tissues that support your teeth. Eventually, teeth become loose and may fall out or require extraction.
Many adults lose teeth not because of cavities, but because of untreated gum disease.
2. Jawbone Deterioration
Advanced gum disease leads to bone loss in the jaw. Once the bone is damaged, it does not grow back on its own. This can affect your facial structure, causing your face to look sunken or aged.
Bone loss can also make future treatments, such as dental implants, more complicated or more expensive.
3. Chronic Bad Breath (Halitosis)
The bacteria responsible for gum disease release toxins that cause persistent bad breath. Mouthwashes and mints only mask the smell temporarily. Unless the infection is treated, bad breath will continue.
Professional gum treatment is the only long-term solution.
4. Increased Risk of Heart Disease
Scientific studies have shown a strong link between gum disease and heart disease. Bacteria from infected gums can enter the bloodstream and contribute to arterial inflammation.
This inflammation may increase the risk of:
- Heart attacks
- Stroke
- Blocked arteries
Maintaining healthy gums is not just about your smile—it can help protect your heart.
5. Complications for Diabetes Patients
Gum disease and diabetes have a two-way relationship. People with diabetes are more likely to develop gum infections, and untreated gum disease can make blood sugar levels harder to control.
For diabetic patients, regular dental checkups are essential to prevent serious complications.
6. Pregnancy Risks
Hormonal changes during pregnancy increase the risk of gum disease. Severe gum infections have been linked to:
- Premature birth
- Low birth weight babies
Pregnant women should never skip dental visits. Gum care is a crucial part of prenatal health.
7. Weakened Immune System
When your body constantly fights gum infection, your immune system becomes overworked. This can make you more vulnerable to other infections and slow down healing.
Healthy gums support a stronger immune system.
8. Pain and Discomfort in Advanced Stages
Although early gum disease may be painless, advanced stages cause:
- Pain while chewing
- Sensitivity to hot and cold
- Gum abscesses
- Constant discomfort
At this stage, treatment becomes more complex and costly.
Why Gum Disease Is Common

Gum disease is especially common due to:
- Poor oral hygiene habits
- High consumption of sugary foods and tea
- Tobacco use (smoking, gutka, paan)
- Skipping regular dental checkups
- Self-medication instead of professional care
At Aesthetic Dental Studio, we focus on educating patients about prevention because many cases can be avoided with proper care.
How Gum Disease Is Treated
Treatment depends on the severity of the condition.
Professional Scaling and Polishing
This removes plaque and tartar from above and below the gumline.
Deep Cleaning (Root Planing)
For advanced cases, bacteria are removed from deep pockets around the teeth.
Medications
Antibacterial gels or antibiotics may be used to control infection.
Surgical Treatment
In severe cases, gum surgery may be needed to restore damaged tissue and bone.
Early treatment is always simpler, less painful, and more affordable.
How to Prevent Gum Disease
Preventing gum disease is easier than treating it.
- Brush twice daily with fluoride toothpaste
- Floss every day to remove plaque between teeth
- Use an antibacterial mouthwash
- Avoid tobacco products
- Eat a balanced diet
- Visit your dentist every 6 months
Professional cleanings remove tartar that brushing alone cannot.
Why Choose Aesthetic Dental Studio in Karachi?
At Aesthetic Dental Studio, we believe gum health is the foundation of a healthy smile.
Our clinic offers:
- Advanced periodontal care
- Gentle, pain-managed treatments
- Personalized oral hygiene guidance
- Modern equipment and hygiene standards
- Experienced dental professionals
We focus on early diagnosis and preventive care, helping patients avoid tooth loss and costly procedures. Contact us today for a consultation with a complimentary X-ray!
Final Thoughts on Dangers of Gum Diseases
Gum disease is not a minor problem. Left untreated, it can lead to tooth loss, bone damage, and serious health conditions affecting your heart, diabetes control, and pregnancy outcomes.
Bleeding gums are not normal. Bad breath is not harmless. Loose teeth are a warning sign.
If you are experiencing any symptoms of gum disease, early treatment can save your teeth, protect your health, and restore your confidence.
Book a consultation with Aesthetic Dental Studio today and take the first step toward healthier gums and a stronger smile.

